
Soy el Dr Alejandro Oros Ortopedista en SLP
Lesiones deportivas - ArtroscopÃa - Protesis
Como profesional con experiencia en mi campo, sé cuánto trabajo se requiere para tener éxito. Mi página web es mi manera de documentar todo lo que he hecho, aprendido y cómo me veo en el futuro. Si desea saber más sobre mí, no dude en explorar la página. Si ve algo que le gusta, o le gustaría hablar sobre lo que puedo hacer por usted, no dude en escribirme.


Mi biografÃa
¿Quién soy?
Graduado de medicina general por la Universidad Autónoma de San Luis Potosi (UASLP), realice mi formación de Traumatología y Ortopedia en el Hospital Central Sur de Alta Especialidad (HCSAE) de Petróleos Mexicanos en Ciudad de México avalado por la UNAM donde además realice rotaciones clínicas en diversas partes de la Republica y dentro de CDMX: Hospital Juárez de México, Hospital Shriners para niños, H. Regional de Salamanca y Villahermosa de Petróleos Mexicanos.
Posteriormente realice un Fellowship en cirugía del deporte en Tbilisi- Georgia con rotación en Estambul, Turquía por medio de la asociación internacional de artroscopía, cirugía de rodilla y medicina deportiva (ISAKOS).
Me especializo en cirugía de preservación de cartílago, cirugías artroscópicas a nivel de rodilla, codo, hombro y tobillo, cirugías de alineación de rodilla, así como cirugías de reemplazo articular (prótesis en rodilla, hombro, cadera)
Por parte de traumatología me especializo en toda clase de fracturas óseas.
Trayectoria profesional
Mis certificaciones
Como profesional en mi campo, he tenido la oportunidad de trabajar en una amplia variedad de proyectos. Sé como asumir nuevos desafíos y contribuir a una empresa de manera inteligente, significativa y valiosa.
​
Miembro de la asociación internacional de artroscopia, cirugía de rodilla y medicina ortopédica deportiva (ISAKOS)
Miembro de la sociedad latinoamericana de artroscopia, reconstrucción articular y trauma deportivo (SLARD)
Miembro del colegio Mexicano de Ortopedia (CMOT)
Miembro de la asociación artroscópica de Norte America (ANNA)

Traumatología y Ortopedia
Artroscopía -lesiones deportivas- Protesis
Experiencia profesional

Ortopedista
Cirugía deportiva, mínima invasión, cirugía protésica y artroscópica
Universidad Autónoma de México(UNAM) Cirujano en traumatología y ortopedia
Fellowship en Cirugía Deportiva en MEDICLUB Tbilisi Georgia por medio de ISAKOS
Miembro de la asociación internacional de artroscopia, cirugía de rodilla y medicina ortopédica deportiva (ISAKOS)
Entrenamiento en clinica Cemtro unidad de Hombro [lesiones deportivas y protesis de hombro]
Miembro activo de la sociedad latinoamericana de artroscopia, reconstrucción articular y trauma deportivo (SLARD)
Miembro del colegio Mexicano de Ortopedia (CMOT)
Miembro de la asociación artroscópica de Norte America (ANNA)
.jpeg)
Experiencia académica
Mis estudios
El profesionalismo no es casualidad, destacar en el ámbito laboral requiere de trabajo duro, aprendizaje y práctica.
La educación ha sido un elemento fundamental en mi carrera.
2017-2020 Residente de Traumatología y Ortopedia en HCSA Pemex
2017 Estancia Hospital Juárez México
2017 Rotación a hospital regional de Villahermosa de PEMEX
2019 Rotación a hospital regional de Villahermosa de PEMEX
2019 Rotación en Hospital SHRINERS para niños
2018-2019 Rotación a hospital regional de Salamanca de PEMEX
2020 Aceptado para rotación con el Dr. Manuel Leyes en clínica CEMTRO, debido a epidemia COVID, no se pudo realizar
2020 Curso Online Sociedad Latinoamericana de artroscopía rodilla y deporte módulo de lesiones meniscales Octubre 2020 1er Congreso Virtual Internacional de Ortopedia y Traumatología Femecot
Enero 2021 1er Curso en Linea “Anatomía y Fisiología Raquimedular” CMTO Enero 2021 XIV Congreso Nacional de Residentes en Ortopedia y Traumatología CMO
Febrero 2021 Curso Virtual de Artroplastia de Cadera CMO
Junio 2021 CONMED Academy Latam Curso Anual de Artroscopia (cadera, rodilla, hombro, codo, muñeca y tobillo)
Julio 2021 Curso Virtual de Artroplastia de Rodilla CMO
2022 Fellowship en cirugía del deporte y preservación de cartílago articular en Georgia Tbilisi con rotación en Estambul, Turquía con el programa Surgeon to Surgeon de Zimmer- Biomet.

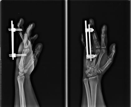
Una de las urgencias que pueden presentarse son las fracturas, estas son la ruptura total o parcial de un hueso. Puede ser producida por una caída, golpes fuertes o la contracción violenta de un músculo. Existen dos tipos: las cerradas, en las que el hueso se rompe y la piel permanece intacta, y aquellas en que la herida está abierta y el hueso fracturado se desplaza hacia el exterior.
Tienen mayor riesgo de padecer una fractura las personas con osteoporosis, aunque también llegan a ser frecuentes en niños y ancianos porque su composición ósea es más frágil.
​
Cada fractura necesita:
-
una evaluación individualizada
-
y un tratamiento ajustado al tipo que corresponda y a tu circunstancia personal
Puede que un tratamiento inicial pueda serte prescrito por cualquier profesional sanitario.
Pero el tratamiento definitivo y tu seguimiento te lo debe hacer un especialista en traumatología
las fracturas pueden tratarse de manera conservadora o quirúrgica.
Las operaciones de fracturas son muy variadas, tanto como los huesos y tipos que existen.
Los procedimientos pueden ir desde:
-
Intervenciones percutáneas, en las que apenas se hace una pequeña incisión en la piel y los cirujanos nos guiamos por las imágenes que muestra un aparato de escopia en quirófano
-
A operaciones donde son necesaria la reducción y colocación de distintos tipos de implantes e incluso una prótesis si se trata de una articulación.
​
.jpeg)
.jpeg)

.jpeg)
Atención urgencias
La traumatología es una especialidad médica que se encarga de realizar una valoración clínica, tratamiento y la rehabilitación adecuada a pacientes portadores de enfermedades congénitas así como lesiones traumáticas y no traumáticas del aparato locomotor y todas sus estructuras asociadas.
En los últimos años, esta especialidad ha experimentado avances significativos en lo que se refiere al desarrollo de nuevas técnicas de diagnóstico y, sobre todo, en el ámbito terapéutico
​
​
​
​
Habilidades
Atención especializada
Ortopedia
Además de ser la especialidad médica dedicada al diagnóstico, tratamiento, rehabilitación y prevención de lesiones y enfermedades que afectan al sistema músculo-esquelético.
​

Servicio al cliente
Me pongo a tu disposición para ofrecerte mis servicios:
-
Atención urgencias
-
Todo tipo de fracturas
-
Lesiones deportivas
-
Artroscopia de hombro, rodilla, tobillo, codo
-
Prótesis de cadera y rodilla
-
Cirugía de hallux valgus (juanetes)
-
Cirugías de preservación de cartílago
-
Lumbalgias y problemas de columna

Objetivos
Estoy para servirte, ayudarte en tu pronta recuperación y guiarte en tu proceso de sanación.
El fin de este tipo de intervenciones, es mejorar el dolor y recuperar la calidad de vida y las funciones de su articulación.
​
​


William Shakespeare
"Sabemos lo que somos, pero aún no sabemos lo que podemos llegar a ser".
Contacto
Torre Médica Bonadea. Consultorio 101
Av. Parque Chapultepec 4705, 78295 San Luis Potosí, S.L.P.
Citas: 4448402666
Agende por doctoralia

consulta ortopedica
Atención urgencias
Las 24 horas
los 7 dias de la semana
​
​
Cirugía
Trabajo con todos los seguros
​